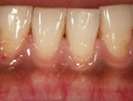
施術前

【ジェットポリッシング】
タバコのヤニやお茶や食品の色素などで黄ばんだ歯の汚れなどを非常に細かい粉末を用いて落とす方法です。その日中に汚れを落とすことが出来ます。
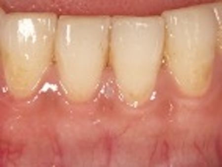
【PMTC】
色素だけではなく、色素が付着する原因となるバイオフィルム自体も除去する方法です。歯を1本ずつ研磨剤で磨いて再付着を減らします。
歯ぐきの先天的なメラニン色素沈着や後天的に歯の被せ物の金属粉による黒変は、レーザー治療で改善させることが可能です。


先天的な歯色を漂白することをホワイトニング、歯髄(神経)壊死後に歯質が変色した歯を漂白剤で脱色することを(ウォーキング)ブリーチといいます。
これに対して、樹脂製のコート剤を歯に塗布して歯質の色を改善する方法をホワイトコーティング(ビューティーコート)と言います。
実際には、患者さんごとの固有の歯の状態や生活習慣に合わせて、十分にカウンセリングを行ってからの施行となります。
コンピューターによる歯型の読み取りとセラミックブロックの削り出しを行うCAD/CAMシステムによる非常に精度の高い修復方法です。次のような特徴があります。
初期のオールセラミックの割れやすさが改良され、奥歯やブリッジにも可能な第三世代のジルコニア系オールセラミック冠や 、精度と強度が向上したオールセラミックの詰め物(e.maxインレー)や絶対に割れないジルコニア系セラミックインレー等が開発され、現在最高の修復物とされています。

IPSe.maxプレスを使用した最新のオールセラミック(e.max)インレーは、従来のセラミックインレーより、強度・適合性・審美性いずれも格段に向上しました。

奥歯やブリッジにも可能な第三世代の ジルコニア系オールセラミックが開発され、現在最高の審美修復物とされています。
ひずみが少ないので適合性が高く、薄くて違和感が少ない。 食材の味や温度が伝わりやすい。
金具を使わず、審美性の高い冠を維持に利用した義歯
金具を使わず、特殊な樹脂で歯ぐきを維持する義歯

金具が見えて審美的ではない。

金具が見えず審美的。


ガミースマイルとは、笑ったときに上顎の歯肉が過度に露出する状態を指します。これは歯の喪失とは直接関係ありませんが、口元の審美性を考慮する上で重要な要素です。
ガミースマイルは、露出する歯肉の量に基づいて以下のように分類されます。この分類は、治療の必要性や適切な治療法を判断する基準となります。
| マイルド | 歯の長さに対して25%以内の歯肉露出 |
|---|---|
| 中程度 | 歯の長さに対して20~50%の歯肉露出 |
| 進行 | 歯の長さに対して50~100%の歯肉露出 |
| 重度 | 歯の長さに対して100%以上の歯肉露出 |
| リップライン | 笑った際の上唇の位置が高すぎると、歯肉が過剰に露出します |
|---|---|
| 歯冠長 | 歯冠長:歯の見える部分(歯冠)が標準より短い場合、相対的に歯肉が目立ちます |
| 歯の位置 | 歯が下方や前方に位置すると、スマイルライン全体のバランスが崩れます |
上唇と小鼻を引き上げる「上唇挙筋」が過剰に機能すると、笑った際に上唇が通常より高く持ち上がり、歯肉が露出します。また、筋肉の過緊張により、笑顔の際に上唇が薄くなることもあります。
上顎の過成長や下顎の成長不足などの骨格的な問題がガミースマイルの原因となることがあります。これらは遺伝的要因のほか、成長期の食生活、口呼吸、特定の悪習慣(唇をかむ、下顎に肘をつくなど)が影響します。成長期(10~12歳頃まで)であれば、適切な習慣形成や機能的治療、さらに矯正治療により改善できる可能性があります。
歯の面積が小さく歯肉が広い場合や、上顎前歯が前突している場合にもガミースマイルが生じることがあります。前歯の前突は、幼少期の指しゃぶりや下唇をかむ習慣、舌で前歯を押す癖などが原因となることが多いです。また、標準的な中切歯の歯冠長が約11.3mmであるのに対し、それより短い場合も歯肉が目立ちやすくなります。
上唇や歯肉の形態を外科的に修正し、笑ったときの歯肉露出を軽減します。


外科手術を望まない患者様向けに、上唇を引き上げる筋肉の動きを弱めるボツリヌストキシン製剤の注射治療も行っています。この方法は非外科的で、一時的な効果ですが、定期的な施術で継続的な改善が期待できます。
ガミースマイルの治療法は個々の症例により異なりますので、詳細については診察の上、最適な治療法をご提案させていただきます。口元の審美性向上をご希望の方は、是非ご相談ください。
軽度の骨格性要因や歯列の突出を改善することにより、上唇を閉じやすくなり、笑ったときの歯肉の露出が軽減することがあります。
| 外科的治療法 | |
| ①歯槽堤縮小術 | 165,000円 |
| ②歯冠長延長術(6本分) | 330,000円 |
| ボツリヌストキシン製剤注射 | 33,000~99,000円 |
※料金は全て税込表記になります。