「最近冷たい物や空気が歯に似るようになった。」 「
歯ブラシの毛先が当たってピリっとする。」 「
鏡でよく見ると、見るところの歯茎がやせて歯が長く見えるようになった。」 など、こんな
お悩みはありませんか?虫歯のある歯がしみて痛い、という症状の多くは「知覚過敏症」と呼ばれるものです。
今回は『知覚過敏症』についてお話します。
知覚過敏症とは?
知覚過敏症の仕組みをお話する場合には、まず歯の構造について簡単に説明します。
歯の一番外側にあたる部分はエナメル質という最も固い組織で検証されています。
その中にある歯髄(神経)を取り囲んでいるのが象牙質というものです。
この象牙質には象牙細管という無数の細い管があり、それは歯髄と繋がっている為、象牙質に沿った外来刺激は神経に伝わるという仕組みとなっています。
つまり、ほとんど原因で歯質が露出することにより外来刺激(冷気、冷水、酸味・甘味食品、歯ブラシなどによる刺激)が象牙細管歯髄(神経)に伝わると歯に瞬間的な痛みが生じます。
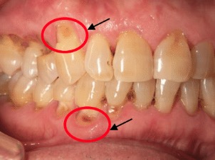
う蝕(むし歯)との違い
象牙質の露出によって発症する知覚過敏症と変わってう蝕(むし歯)とお楽しみ口の中の細菌が歯を破壊している状態の事です。
むし歯が象牙質に集中していると知覚過敏症と非常に近い症状が呈しますが、進行して神経(歯髄)に近くつきつつズキズキとした痛みを伴ったり、熱いものでも痛みを感じたりするようになります。
知覚過敏症の場合、歯自体はきれいな人が多く初期の場合は回復する事もありますが、う蝕(虫歯)は一度罹患したら治療を受けない限り元の状態に回復することはありません。
知覚過敏症の原因
さて知覚過敏症はどのような原因で発症するのでしょうか?
①歯周病による歯根露出
歯周病で歯槽骨が吸収されていくと歯肉が後退する(歯茎が下がる)ように歯根の象牙質が露出する事で終わります。

②大事なブラッシング方法による摩耗
歯ブラシで力任せにゴシゴシコするとエナメル質が傷つき、減ってしまいそうな歯質が露出する事で終わります。

③歯ぎしりやくいしばりによる歯質の摩耗や微小破折
歯ぎしりの原因は定かではありませんが、歯ぎしりは直接、歯のエナメル質同士をこすり合わせる為エナメル質が減る原因となり象歯質の露出を引き起こす事があります。
歯を強く噛み締めるくいしばりは、歯と歯茎の境目の部分に応力がかかるエナメル質が微小に破壊され続け、やがて象牙質が露出します。
また、歯ぎしりやくいしばりをすることで歯周組織に負担がかかり、歯周病を悪化させることもあります。 ①~③の原因が複合して起こることもあります。
知覚過敏の治療
まず、歯周病などの歯周疾患が原因で知覚過敏症が起こっている場合は、当然その歯周疾患の改善の為の処置が優先されます。
歯石を除去する事によって今まで歯石に現れていた象牙質が露出し一時的に知覚過敏症の症状が強くなる場合もありますが、歯石が出ているのは細菌の塊ですので付着したままでは歯周病をかなり悪くし、どうやら知覚過敏症の症状をも悪くさせてしまう事になります。
よって、歯面及び歯根に付着している歯石は除去し、より付着しにくい環境を整えることが重要です。
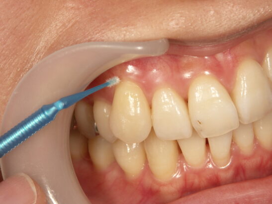
以下には象牙質の知覚を鈍くするための主な治療法についてお話します。
薬を塗る
象牙質に専用の知覚過敏抑制剤を塗ることで薬剤の成分(フッ化ナトリウム含有、シュウ酸カリウムベース・硝酸カリウム)と歯質のカルシウムが反応し、象牙細管内及び塗布表面に保護皮膜を形成して象牙細管を緊密に封鎖し、刺激が伝わりにくいようにします。

詰め物をする
歯の表面が削られていて損傷が大きくなって刺激が伝わり易くなっている場合は、歯科用レジンといわれる樹脂をコーティングしたり詰めることで、物理的に遮断し刺激が伝わるのを防ぐ事が出来ます。
しかし、日常の歯磨きによってレジン樹脂がすり減ったり脱落したりすることもあり、また吸水性による変色や劣化などの短所もあるため、永久的に使えない材料であることも事実です。
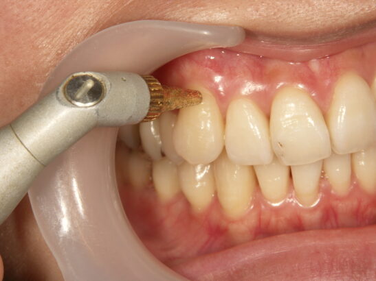
レーザーの照射
レーザーは歯の硬組織に対して高い浸透性があるので、レーザーの照射により象牙細管をふさぎ、歯の神経を保護することによって痛みや歯がしみる症状を防ぐことができます。

その他
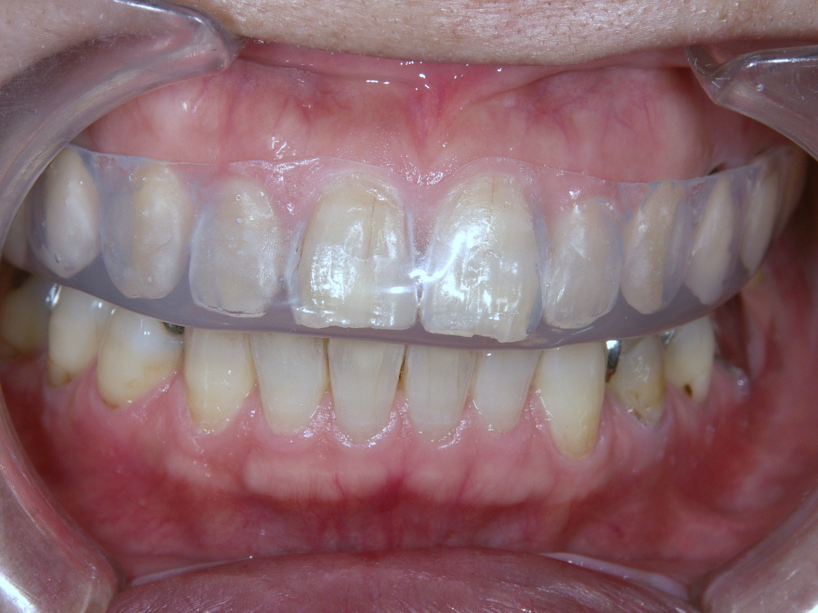
①食いしばりや歯ぎしりなどが原因で知覚過敏症になっていると思われる場合はナイトガードという歯をカバーする器具を使用し、歯ぎしりによるエナメル質・歯周組織の破壊を防ぐ治療を行います。
②在宅で使用できる知覚過敏抑制剤もあり、使用に関しての説明を歯科医院で十分受けた上で使用が可能となります。 休暇中や、歯科医院にはなかなか行けない時も便利です。

知覚過敏症の予防法
では日常生活の上で知覚過敏症を予防するにはどうしたらよいのでしょうか?
固い歯ブラシで磨いても、力を入れてゴシゴシ磨きすぎていませんか?
このような自己流の歯みがき法は改善する必要があります。とにかく強く磨くのではなく、やさしく1本1本丁寧に磨く事が知覚過敏予防の基本なのです。
しっかりなブラッシング法を習得する事でエナメル質が傷つく事を抑え、知覚過敏症の予防・症状の悪化を防ぐことができます。
さらには歯石の付着を抑える歯周病・虫歯を予防することも期待できるのです。
研磨剤入りの歯磨き粉をたっぷり使って磨いていませんか?
歯磨き粉に配合されている研磨剤がエナ質や象牙質を消す可能性があり、歯磨き粉を大量につけて歯磨きをするのではなく少量だけ使用して歯磨きをする習慣をつけることも大切です。
ちなみに、もし知覚過敏の症状が出たら研磨剤が配合されていないので知覚過敏予防歯磨き粉を使用することで、硝酸カリウム、乳酸アルミニウムといった薬用成分により象牙細管をふさいで歯に伝わる刺激をブロックし、外部の刺激から歯を守ることもできます。
継続的に使うと効果的です。
| 歯髄神経を鈍麻し、瞬間刺激の伝達を抑制 ⇒ブラッシング時の痛みをケア | |
| 歯髄神経を鈍麻し、瞬間刺激の伝達を抑制 ⇒ブラッシング時の痛みをケア |
歯ぎしりやくいしばりをしていませんか?
歯ぎしりやくいしばりをしている方は、歯質の摩耗・微小破折や歯周病の悪化をきたしやすいのですが、かなり折れた歯質や骨は結局戻ることはできません。
もしそうなれば噛み癖のある方は、症状が現れる前にナイトガードを装着して予防することを推奨いたします。
知覚過敏症と思い込むのも危険!?
知覚過敏症は、いろいろな原因・症状の程度・個人差があるためわかりにくいものなので、各個人の原因を慎重にしてその原因に見合った取り組みを受ける事が大切です。
むし歯(う蝕)と思ったら知覚過敏症だったということも多いですが、逆に過去に知覚過敏症と診断されていることも、新たにむし歯(う蝕)が発生していることもあります。
やはり慢性的な知覚過敏症の方も、自己判断せずに歯科医院で定期的なチェックを受けてください。

